SoHo Dentists Providing Complete Oral Care
Advanced
dental services
in New York
At Sunny Dental Care, we believe you deserve all of that. And that’s exactly what we’re here to provide — nothing but the best.“
The Team at Sunny Dental Care
You are in good company
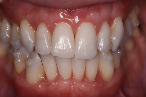
See What’s Possible
Explore the real transformations of patients who trusted us with their smiles.
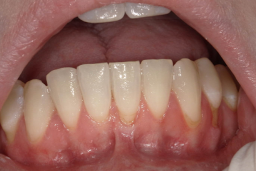
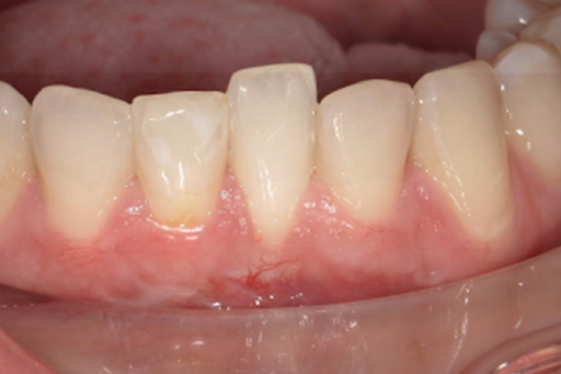
Gingival recession




Easy visits with to state-of-the-art technology
To ensure a seamless experience, at Sunny Dental Care, we stay on top of the latest innovations and techniques. Some of these include:
LANAP laser gum treatment
Helps fight infection with less bleeding and faster healing.
Planmeca CBCT 3D imaging
Shows precise details with less radiation.
TRIOS 6 by 3Shape scanners
Create quick, goop-free digital impressions of your mouth.
Pearl AI Second Opinion®
Provides an instant AI review of your x-rays, giving you a second set of expert eyes.
Diagnocat
Creates easy-to-understand 3D dental reports, so you understand your options clearly.
Offer unparalleled strength and a natural look and feel.
Care is just simpler when your team works together
You don’t have to visit different offices or juggle referrals. We bring everything together with a truly collaborative, multidisciplinary approach. Your general dentist works side by side with our on-site specialist, so your care stays coordinated from start to finish.
With Dr. Changmin Richard Yim, our oral surgeon, and Dr. Wonseok Jang, our periodontist, you have access to advanced services without ever leaving our office. This means fewer appointments, less travel, faster answers, and treatment plans built by experts who collaborate on your health.
Complete care. One team. One roof.
General Care
Cosmetic Care
Whether you’re looking for subtle tweaks or a full transformation, our cosmetic services are designed to help you feel confident at every step. We’ll discuss your goals, explore options, and help you decide what best suits your face, timeline, and budget.
Gum Disease Treatment
Your gums are the foundation of your smile and overall health. We’ll show you what we see, explain the next steps, and treat your gums with state-of-the-art techniques. Dr. Jang is a skilled periodontist who’s here to keep your smile strong for the long term.
Wisdom Teeth Removal & IV Sedation
Dealing with complex oral issues can be stressful for anyone. At Sunny Dental Care, you’ll be cared for by Dr. Yim, our in-house oral surgeon, and a team who know your story. We’ll explain every step in simple terms and make sure you’re at ease from start to finish.
Designed around your comfort
High-Quality
Dentistry
Warranty
Protection
Clear Options
& Costs
FAQs
What happens at my first visit?
What technology do you use for diagnosis and planning?
What if I’m feeling anxious about my visit?
How does technology make my treatment more comfortable?
Do you use digital scanners?
Can I see what’s happening during my visit?
What makes Sunny Dental Care different?
Advanced dentistry, made simple
in New York
Meet your new dental home
101 Lafayette St, 9th floor
New York, NY 10013
(212) 842-5300
Monday & Wednesday: 10:00 AM – 6:00 PM
Tuesday, Thursday, Friday & Saturday: 9:00 AM - 5:00 PM
Sunday: 9:00 AM – 2:00 PM






